Bolle Aria Polmoni
Embolia Gassosa Arteriosa Malattie Cardiologia Pazienti It
Enfisema Polmonare I Sintomi Le Cause E La Cura Ohga
Affari Polmonare Clinica Scheda Bolle Grafico Oro Polmoni Cliniche Medico Centers Aria Affari Fondo Vettore
Www Studocu Com It Document Universita Degli Studi Dellaquila Cardiologia Riassunti Pneumotorace Empiema View
Q Tbn And9gct1u0cy0xujxlkmxrkqvwcrf2ond55de2vrk Ll9kdo0m48wnxy Usqp Cau
Pneumotorace Wikipedia
Piacenza, grazie per la risposta sulle bolle d'aria nei polmoni Cosa può causare la rottura delle bolle e cosa sono?.
Bolle aria polmoni. Le bolle sono più grandi di un terzo di un polmone;. Diciamo che è uno dei rischi della. L'aria non riesce più ad uscire e si accumula nel cavo pleurico, fino a schiacciare il polmone stesso, questo è definito pneumotorace iperteso QUANDO SI FORMA In giovani adulti, di solito magri e longilinei E' dovuto dalla rottura di bolle (blebs), situate generalmente all'apice polmonare E' una malattia benigna, che però.
"Qui dice che hai delle bolle nei polmoni, che forse sono congenite ma che si sono aggravate man mano Ora vivi a Messina in una casa umida, dove c'è un deumidificatore che non accendi perché. L’ enfisema polmonare è un malattia dei polmoni provocata da un danneggiamento degli alveoli in essi contenuti La causa più comune risiede nell’inalazione di sostanze dannose contenute per esempio nel fumo di sigaretta, nell’aria inquinata o nelle esalazioni di certi impianti industriali. Il pneumotorace è una patologia ad esordio improvviso caratterizzata dalla presenza di aria nello spazio pleurico (cioè nello spazio virtuale tra i due foglietti pleurici che rivestono il polmone e la parete toracica) È causata dalla rottura di una bolla polmonare per cui l’aria si accumula nel cavo pleurico togliendo spazio al polmone con conseguente rischio.
Le informazioni proposte in questo sito non sono un consulto medico In nessun caso, queste informazioni sostituiscono un consulto, una visita o una. Il versamento pleurico è l’accumulo patologico di liquido nella cavità pleurica (l’area tra i due strati della sottile membrana che ricopre i polmoni) L’accumulo di liquido nella cavità pleurica può originare da numerosi disturbi, fra cui infezioni, tumori, traumi, insufficienza cardiaca, renale o epatica, coaguli di sangue nei vasi. Bolle aria pancia Bolle aria pancia 3103 Ex utente che questo bruciore retrosternale l ho avuto anche un mesetto fa ma facendo rx torace nn è risultato niente ai polmoni.
Bolle) cavità d'aria inferiore a 1 cm, situato nell'interstizio e sede subpleurica e bolle formazione di aria più di 1 cm di diametro, le cui pareti sono allineate con l'epitelio alveolare L'esatta prevalenza dell'enfisema bolloso non è definita, ma è noto che questa malattia causa pneumotorace spontaneo nel 7080% dei casi. Il tumore, che inizialmente si sviluppa nel rivestimento interno della vescica, può diffondersi al muscolo che la circonda e poi raggiungere i linfonodi, per via linfatica, e altri organi come polmoni, fegato, ossa, attraverso il circolo sanguigno Quando si diffonde a distanza è chiamato tumore metastatico della vescica. Bolle prendere il posto di tessuto sano distrutta da enfisema, riducendo l'efficienza dei polmoni Definizione Il termine "bolloso" si riferisce a sacche d'aria allargate nei polmoni noto come bolle, secondo il dottor Net UK.
La presenza di bolle d'aria circolanti nel sistema vascolare può essere assai pericolosa, in quanto gli emboli potrebbero raggiungere anche le arterie del cervello, le coronarie che irrorano il muscolo cardiaco e i vasi sanguigni che conducono il sangue deossigenato dal cuore ai polmoni Se le bolle d'aria finiscono nei vasi arteriosi del. Le bolle d'aria sono piccole vesciche piene d'aria che si formano sull'esterno rivestimento dei polmoni A volte, queste bolle d'aria si rompono e rilasciano aria nello spazio pleurico, causando il collasso del polmone Ciò può derivare da cambiamenti nella pressione dell'aria Le bolle d'aria di solito non sono un segno di malattie o altre. Le relazioni sono come l'aria per i polmoni Non possono mancare in una vita che aspira alla propria completezza L'assenza di relazioni è la solitudine La Donna è il sale della vita, appena bolle l’acqua dentro!.
Sindromi di perdite d'aria dai polmoni significano la diffusione di aria al di fuori della sua normale posizione nello spazio aereo dei polmoni Sindromi di perdite d'aria dal polmone comprendono enfisema polmonare interstiziale, pneumomediastino, pneumotorace, pnevmoperikard, pneumoperitoneo ed enfisema sottocutaneo. Che cos'è il pneumotorace?. Le bolle sono grandi sacche d’aria che si formano all’interno del polmone a causa di determinate condizioni mediche, come l’enfisema e la broncopneumopatia cronica ostruttiva I medici possono raccomandare un bullectomia, che è la rimozione chirurgica delle bolle, se causano problemi respiratori o altre complicazioni di salute Le bolle diventano di dimensioni crescenti una volta.
Il pneumotorace è una patologia ad esordio improvviso caratterizzata dalla presenza di aria nello spazio pleurico (cioè nello spazio virtuale tra i due foglietti pleurici che rivestono il polmone e la parete toracica) È causata dalla rottura di una bolla polmonare per cui l’aria si accumula nel cavo pleurico togliendo spazio al polmone con conseguente rischio. Bolle prendere il posto di tessuto sano distrutta da enfisema, riducendo l'efficienza dei polmoni Definizione Il termine "bolloso" si riferisce a sacche d'aria allargata nei polmoni conosciuti come bolle, secondo il dottor Net UK. Rantoli secchi nei polmoni Sibili asciutto si verificano durante il passaggio dell'aria attraverso i bronchi nel lume del quale v'è una sufficientemente densi contenuti (spessa espettorato viscoso), e attraverso il lume con un ristretto causa bronchi di mucosa gonfiore, spasmo delle cellule muscolari lisce o di crescita tessuto della parete bronchiale neoplastico.
17 Febbraio 17 0 «Io pur di lavorare pagherei!». Enfisema bolloso, caratterizzato dalla formazione di bolle d'aria Enfisema interstiziale, contraddistinto da un accumulo d'aria attorno ai lobuli e al di sotto della pleura (strato di rivestimento dei polmoni) È provocato generalmente da forti attacchi di tosse. Enfisema polmonare bolloso aspettative di vita l’enfisema bolloso è caratterizzato dalla formazione di grandi bolle d’aria nei polmoni che ostacolano la respirazioneSe le bolle scoppiano improvvisamente possono causare un pneumotorace (fase acuta) Costituisce una variante dell’enfisema polmonare ed è caratterizzato dalla completa distruzione di alcune zone di parenchima polmonare.
Enfisema polmonare sintomi iniziali subdoli e lievi!. Nonostante nei malati da pneumotorace spontaneo primario non venga riscontrata una causa apparentemente osservabile, si presume che le bolle (accumuli di aria sviluppatisi all'interno del polmone) e i blebs (accumuli di aria insidiati tra polmone e pleura viscerale) possano incidere pesantemente nella genesi del disturbo. Quali sono i sintomi dei noduli polmonari?.
Il riscontro di un nodo polmonare è il più delle volte casuale e spesso la sua scoperta avviene, in pazienti assolutamente asintomatici, in occasione di un esame radiografico del torace praticato per motivi indipendenti dalla sua presenza (esami richiesti in previsione di un intervento chirurgico, assunzione al lavoro, trauma del torace, ecc). La presenza di bolle d'aria circolanti nel sistema vascolare può essere assai pericolosa, in quanto gli emboli potrebbero raggiungere anche le arterie del cervello, le coronarie che irrorano il muscolo cardiaco e i vasi sanguigni che conducono il sangue deossigenato dal cuore ai polmoni Se le bolle d'aria finiscono nei vasi arteriosi del. L’aria entra nel corpo attraverso il naso o la bocca, passa attraverso la trachea e i bronchi per giungere quindi ai polmoni Quando inspiriamo, i polmoni si espandono con l’aria ed in questo modo il corpo riceve l’ossigeno, mentre quando espiriamo l’aria esce da questi organi ed il corpo si libera dell’anidride carbonica.
Salve, ho 25 anni e mi sono operato un mese fa dopo un pnx. In caso di pneumomediastino, dallo spazio compreso fra i polmoni le bolle di aria possono fluire sottocute, causando il cosiddetto enfisema sottocutaneo Si tratta di una condizione che viene descritta con un’espressione anglosassone, rice crispies, perché produce un crepitio simile a quello generato dal riso soffiato a contatto con il latte. Che cos'è il pneumotorace?.
Polmoni scoppiati, bolle d'aria nel cervello Geplatzte Lungen, Luftblasen im Gehirn Agitare la soluzione per 5 minuti, a intervalli di secondi, in modo da eliminare le bolle d'aria Die Lösung wird 5 Minuten lang im Abstand von 30 Sekunden geschüttelt, um Luftblasen zu entfernen. Oltre al fumo di tabacco, poi, notevole influenza hanno anche le sostanze inquinanti presenti nell’aria degli ambienti urbani, pericolose non solamente in quanto in grado di sostenere la distruzione del tessuto alveolare del polmone che conduce all’enfisema, ma altresì per il grosso rischio che rappresentano per la formazione del cancro. Enfisema bolloso, caratterizzato dalla formazione di bolle d’aria Enfisema interstiziale, contraddistinto da un accumulo d’aria attorno ai lobuli e al di sotto della pleura (strato di rivestimento dei polmoni) È provocato generalmente da forti attacchi di tosse.
Io fumo parecchio tra l'altro. Il rischio è invece maggiore con una via ev centrale Le bolle d'aria più piccole tendono a dissolversi in circolo e pertanto sono del tutto innocue Piccole quantità di aria non danno luogo a sintomi facilmente individuabili, ma secondo alcuni autori anche queste "microbolle" potrebbero avere alcuni effetti negativi. La progressiva disgregazione delle pareti degli alveoli e dei bronchioli porta alla formazione in entrambi i polmoni di vere e proprie bolle, che possono avere un diametro da pochi millimetri a diversi centimetri in altre parole l’aria rimane intrappolata nei polmoni e questo riduce la capacità respiratoria del paziente.
Infine si può optare anche per l’intervento chirurgico, che consiste nell’asportare la zona di polmone occupata dalle bolle d’aria, in genere molto piccola, la cui rottura ha causato la. Oltre al fumo di tabacco, poi, notevole influenza hanno anche le sostanze inquinanti presenti nell’aria degli ambienti urbani, pericolose non solamente in quanto in grado di sostenere la distruzione del tessuto alveolare del polmone che conduce all’enfisema, ma altresì per il grosso rischio che rappresentano per la formazione del cancro. Scritto da Fabrice A quei livelli non è che uno/a si prende una bolla d’aria nei polmoni per il destino cinico e baro, ma neanche lontanamente!!!.
Se bolle iniziare rilasciando aria, i polmoni possono crollare Se questo accade almeno due volte, il medico probabilmente raccomandare un bullectomia Un bullectomia può anche essere necessario se il bolle occupano più di al 30 per cento dello spazio del polmone Altre condizioni che possono essere trattati con un bullectomia includono. L’aria entra nel nostro corpo attraverso il naso o la bocca, poi attraversa la trachea ed i bronchi e infine giunge nei polmoni Quando inspiriamo i polmoni si riempiono d’aria e si gonfiano solo così il nostro organismo riesce a ottenere tutto l’ossigeno di cui ha bisogno Viceversa, quando espiriamo, l’aria esce dai polmoni. Scritto da Fabrice A quei livelli non è che uno/a si prende una bolla d’aria nei polmoni per il destino cinico e baro, ma neanche lontanamente!!!.
Il pneumotorace è una patologia ad esordio improvviso caratterizzata dalla presenza di aria nello spazio pleurico (cioè nello spazio virtuale tra i due foglietti pleurici che rivestono il polmone e la parete toracica) È causata dalla rottura di una bolla polmonare per cui l’aria si accumula nel cavo pleurico togliendo spazio al polmone con conseguente rischio. Enfisema polmonare sintomi iniziali subdoli e lievi!. È meno probabile che i medici raccomandino un bullectomia se una persona ha più bolle nei polmoni perché la chirurgia può causare più danni ai tessuti circostanti e creare più problemi di quanti ne risolva.
La progressiva disgregazione delle pareti degli alveoli e dei bronchioli porta alla formazione in entrambi i polmoni di vere e proprie bolle, che possono avere un diametro da pochi millimetri a diversi centimetri in altre parole l’aria rimane intrappolata nei polmoni e questo riduce la capacità respiratoria del paziente. Le bolle d'aria sono piccole vesciche piene d'aria che si formano sull'esterno rivestimento dei polmoni A volte, queste bolle d'aria si rompono e rilasciano aria nello spazio pleurico, causando il collasso del polmone Ciò può derivare da cambiamenti nella pressione dell'aria Le bolle d'aria di solito non sono un segno di malattie o altre. Enfisema polmonare sintomi iniziali subdoli e lievi!.
In caso di pneumomediastino, dallo spazio compreso fra i polmoni le bolle di aria possono fluire sottocute, causando il cosiddetto enfisema sottocutaneo Si tratta di una condizione che viene descritta con un’espressione anglosassone, rice crispies, perché produce un crepitio simile a quello generato dal riso soffiato a contatto con il latte. Il danno consente all’aria di lasciare il polmone e di raccogliersi tra il polmone e la parete toracica L’aria presente nello pneumotorace può anche diffondersi alla cute del torace o del collo In molte persone, nella cavità pleurica viene anche riscontrata la presenza di sangue (emopneumotorace). Umidificare l'aria utilizzando un umidificatore ad aria fredda (ionizzatore), e aggiungendo qualche goccia di olio essenziale balsamico (es.
Cardiorespiratori e pneumotorace che cosa rischio?. Il tumore, che inizialmente si sviluppa nel rivestimento interno della vescica, può diffondersi al muscolo che la circonda e poi raggiungere i linfonodi, per via linfatica, e altri organi come polmoni, fegato, ossa, attraverso il circolo sanguigno Quando si diffonde a distanza è chiamato tumore metastatico della vescica. Dizionario medico, definizione di BOLLA POLMONARE Cavità a pareti sottili ripiena di aria, di diametro superiore a 1 cm, localizzata nel parenchim.
Le bolle ai polmoni dipendono solo dal fumo?. Quando una bolla d’aria entra in una vena, si chiama aria venosa un’embolia Quando una bolla d’aria entra un’arteria, si chiama un’aria arterioso embolia Queste bolle d’aria possono viaggiare al cervello, il cuore, o polmoni e causare un attacco di cuore, ictus o insufficienza respiratoria Embolia gassosa arteriosa sono piuttosto. L’ enfisema polmonare è un malattia dei polmoni provocata da un danneggiamento degli alveoli in essi contenuti La causa più comune risiede nell’inalazione di sostanze dannose contenute per esempio nel fumo di sigaretta, nell’aria inquinata o nelle esalazioni di certi impianti industriali.
Oltre al fumo di tabacco, poi, notevole influenza hanno anche le sostanze inquinanti presenti nell’aria degli ambienti urbani, pericolose non solamente in quanto in grado di sostenere la distruzione del tessuto alveolare del polmone che conduce all’enfisema, ma altresì per il grosso rischio che rappresentano per la formazione del cancro. Se bolle iniziare rilasciando aria, i polmoni possono crollare Se questo accade almeno due volte, il medico probabilmente raccomandare un bullectomia Un bullectomia può anche essere necessario se il bolle occupano più di al 30 per cento dello spazio del polmone Altre condizioni che possono essere trattati con un bullectomia includono. Umidificare l'aria utilizzando un umidificatore ad aria fredda (ionizzatore), e aggiungendo qualche goccia di olio essenziale balsamico (es.
Struttura sferica anomala, piena d’aria, che si sviluppa all’interno del polmoneSi forma nel tessuto polmonare anormale, disteso, talvolta distrutto, e non è funzionale, non assicura cioè gli scambi gassosi tra sangue e aria Le sue dimensioni vanno da meno di 1 cm alla grandezza dell’intero polmoneLe bolle possono comparire nel polmone sano o malato, colpito da enfisema. Infine si può optare anche per l’intervento chirurgico, che consiste nell’asportare la zona di polmone occupata dalle bolle d’aria, in genere molto piccola, la cui rottura ha causato la. Le bolle polmonari sono strutture sferiche piene d'aria, di varie dimensioni, singole o multiple, che si sviluppano anormalmente all'interno del polmone Possono essere congenite, cioè presenti.
L’ enfisema polmonare è un malattia dei polmoni provocata da un danneggiamento degli alveoli in essi contenuti La causa più comune risiede nell’inalazione di sostanze dannose contenute per esempio nel fumo di sigaretta, nell’aria inquinata o nelle esalazioni di certi impianti industriali. Il riscontro di un nodo polmonare è il più delle volte casuale e spesso la sua scoperta avviene, in pazienti assolutamente asintomatici, in occasione di un esame radiografico del torace praticato per motivi indipendenti dalla sua presenza (esami richiesti in previsione di un intervento chirurgico, assunzione al lavoro, trauma del torace, ecc). Formazione di bolle giganti nei polmoni le bolle sono spazi che nascono all'interno del polmone, responsabili di una riduzione della capacità respiratoria;.
Bolle enfisematose trattamento Apicale patologia polmonare bollosa Patologia polmonare bollosa è la forma più comune di enfisema E 'una malattia che è caratterizzata da spazi anomali e dilatati aria all'interno dei polmoni, insieme con il deterioramento del tessuto alveolare, che è sostanzialmente il tessuto polmonare che costituisce le. Scoppiettio Bolle Aria Polmoni Cosa potrebbe causare uno scoppiettio di bollicine nei polmoni di una persona operata di apicectomia?. Nonostante nei malati da pneumotorace spontaneo primario non venga riscontrata una causa apparentemente osservabile, si presume che le bolle (accumuli di aria sviluppatisi all'interno del polmone) e i blebs (accumuli di aria insidiati tra polmone e pleura viscerale) possano incidere pesantemente nella genesi del disturbo.
Le bolle impediscono al polmone di espandersi e di spostare l’aria dentro e fuori;. Piccole bolle d’aria possono svilupparsi sulla parte superiore del polmone Non si sa perché queste vesciche appaiano sui polmoni di alcune persone e non di altre, ma si verificano più spesso in persone che sono alte e magre. Formazione di bolle giganti nei polmoni le bolle sono spazi che nascono all'interno del polmone, responsabili di una riduzione della capacità respiratoria;.
Che cos'è il pneumotorace?. L’aria entra nel corpo attraverso il naso o la bocca, passa attraverso la trachea e i bronchi per giungere quindi ai polmoni Quando inspiriamo, i polmoni si espandono con l’aria ed in questo modo il corpo riceve l’ossigeno, mentre quando espiriamo l’aria esce da questi organi ed il corpo si libera dell’anidride carbonica. Enfisema bolloso, caratterizzato dalla formazione di bolle d'aria Enfisema interstiziale, contraddistinto da un accumulo d'aria attorno ai lobuli e al di sotto della pleura (strato di rivestimento dei polmoni) È provocato generalmente da forti attacchi di tosse.
L’aria entra nel nostro corpo attraverso il naso o la bocca, poi attraversa la trachea ed i bronchi e infine giunge nei polmoni Quando inspiriamo i polmoni si riempiono d’aria e si gonfiano solo così il nostro organismo riesce a ottenere tutto l’ossigeno di cui ha bisogno Viceversa, quando espiriamo, l’aria esce dai polmoni. In questi casi si possono formare sui polmoni delle piccole bolle d'aria, o vescicole che, se si rompono, liberano aria all'interno della cavità pleurica La pressione causata dall'aria intrappolata provoca il collasso del polmone A volte, uno pneumotorace spontaneo può comparire anche in casi in cui non siano presenti altre malattie o. Quali sono i sintomi dei noduli polmonari?.
Embolia Gassosa
Contusione Polmonare Wikipedia
Enfisema Polmonare Cos E Cause Sintomi E Cure Melarossa
To Care Lab Pneumotorace Pnx Il Pneumotorace E Una Facebook
Pneumotorace Tipologie Sintomi E Assistenza Infermieristica
Pneumotorace Sintomi Diagnosi Cura Albanesi It
Enfisema Polmonare Sintomi Cause E Cure Top Doctors
Chirurgia Dell Enfisema Dott Massimo Torre
Struttura Dei Polmoni Umani Anatomia Umana Illustrazione Vettoriale Illustrazione Di Anatomia Polmonare
Pneumotorace Sintomi Cause E Cura Vivere Al Meglio
Bolla Polmonare Www Vet Moser It Vetclinic Bozen Bolzano Dr Georg Moser Dr Simon Kirchler
Enfisema Polmonare Il Tuo Infermiere
Pneumotorace Che Cos E Sintomi Cause Prevenzione E Trattamento Top Doctors
La Gigantesca Pulire Le Bolle Di Aria Occupare Trafalgar Square A Londra Come Parte Dei Polmoni Sani Per Tutta La Vita La Campagna Libera I Test Polmonari Sono Stati Offerti Per Incoraggiare
Embolia Polmonare Cos E Sintomi Fattori Di Rischio E Prevenzione
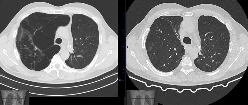
Le Immagini A Vetro Smerigliato E Il Polmone Ad Alveare Nella Tac
Enfisema Polmonare Una Pericolosa Fame D Aria Multimedica
Un Caso Di Pneumotorace Ed Enfisema Sottocutaneo
Pneumotorace Nel Cane E Nel Gatto Cause E Rimedi Amica Veterinaria
Pneumotorace Spontaneo Primario Secondario Ed Iperteso Cause Sintomi Terapie Medicina Online
La Gigantesca Pulire Le Bolle Di Aria Occupare Trafalgar Square A Londra Come Parte Dei Polmoni Sani Per Tutta La Vita La Campagna Libera I Test Polmonari Sono Stati Offerti Per Incoraggiare
Enfisema
Embolia Polmonare Cause Sintomi Diagnosi Terapia E Conseguenze
Pneumotorace Wikipedia
Unikore It Phocadownload Userupload 5d4907b56b Pneumotorace Pdf
Pneumotorace Spontaneo Quando L Aria E Nel Posto Sbagliato Medicalfacts
Pneumotorace Ecco Perche A Volte Il Polmone Si Sgonfia Ok Salute
Come Guarire Da Un Polmone Collassato 11 Passaggi
Enfisema Polmonare Sintomi Diagnosi Cura
Enfisema Nel Cane Tutto Su Questa Patologia Polmonare
Le Mille Bolle Blu Empills Pillole Di Medicina D Urgenza
Enfisema Polmonare
Come Guarire Da Un Polmone Collassato 11 Passaggi
Polmone Materiale Di Diagnostica Per Immagini Elaborato Da Luigi Aronne Pdf Free Download
Pneumotorace Sintomi Diagnosi E Terapia Torrinomedica
Embolia Polmonare Sintomi Cause E Trattamento Ostruzione Arteria Polmonare
Iter Diagnostico E Terapeutico Dello Pneumotorace Pdf Free Download
Pneumotorace Che Cos E Sintomi E Terapia Ohga
Pneumotorace Spontaneo Idiopatico La Malattia Dei Giovani Adulti Medicitalia It
Pneumotorace Cause E Sintomi
Lo Pneumotorace
L Aria E Il Vento In Autunno
Q Tbn And9gcrjsgagep8uefxer1urfleupagfbbcvnwx8ksa422tdimakjw Usqp Cau
Enfisema Cos E Sintomi Cause E Cura Pazienti It
Www Unite It Unite Engine Raservefile Php F File Prof Aste 12 Malattie Del Parenchima Polmonare Pdf
Cosi Il Coronavirus Colpisce I Polmoni Dei Malati
Contusione Polmonare Wikipedia
La Gigantesca Pulire Le Bolle Di Aria Occupare Trafalgar Square A Londra Come Parte Dei Polmoni Sani Per Tutta La Vita La Campagna Libera I Test Polmonari Sono Stati Offerti Per Incoraggiare
Enfisema Polmonare Sintomi Cura Albanesi It
Salute E Benessere Che Cosa E La Bpco Cause Sintomi E Diagnosi Sanremonews It
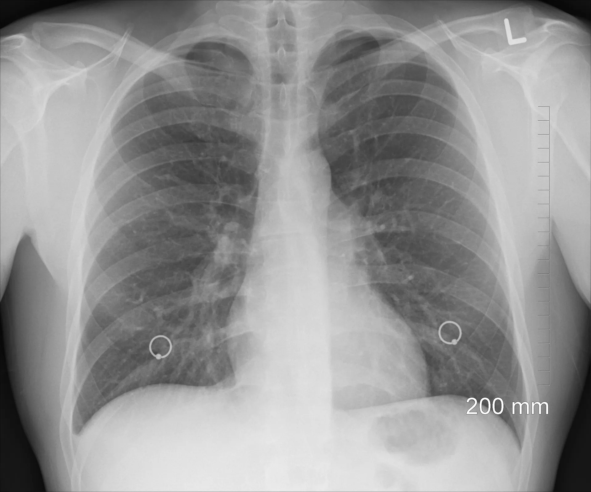
Bergamo Le Storie Dei Guariti Dal Covid Da Chi Ha Perso La Memoria A Chi Vive Con Bolle D Aria Nei Polmoni Corriere It
Pneumotorace Classificazione Epidemiologia Clinica Diagnostica
Enfisema Polmonare Sintomi Diagnosi Cura
Enfisema Polmonare Sintomi Diagnosi E Trattamento Paginemediche
Enfisema Polmonare Da Deficit Di A1 Antitripsina La Terapia
Patologie Della Gabbia Toracica E Pleura
Enfisema Polmonare Una Pericolosa Fame D Aria Multimedica
Embolia Gassosa Rischi E Prevenzione Infiammazione Com
Pneumotorace Segni Sintomi Cause E Cure Informazioni Mediche
Lo Sigaretta Elettronica Puo Causare Problemi Ai Polmoni Farmajet
Enfisema Polmonare Ppt Scaricare
Pneumotorace Spontaneo O Da Trauma Sintomi Cause E Terapia
Pneumotorace Nel Cane E Nel Gatto Cause E Rimedi Amica Veterinaria
Q Tbn And9gcqboujlhdf9ncgsb9zywinpeptzyezz0ooa1nksavkq6lld1fi1 Usqp Cau
Enfisema Polmonare Sintomi Subdoli E Lievi Informasalute
Q Tbn And9gctbmopmajbqpjyxdkz6svmrwxhoutooz2ibijfgdody 5iue9o5 Usqp Cau
Enfisema Cos E Cause Sintomi Trattamento
Il Lieto Fine Di Una Carriera Da Istruttore Subacqueo Alcune Testimonianze Perche Aqua Med Medicina Aqua Med
Chirurgia Dell Enfisema Dott Massimo Torre
Elasticita Del Polmone
Biglietto Da Visita Polmonare Della Clinica Illustrazione Di Stock Illustrazione Di Medico Consapevolezza
Bergamo Le Storie Dei Guariti Dal Covid Da Chi Ha Perso La Memoria A Chi Vive Con Bolle D Aria Nei Polmoni Corriere It
Bolle Nei Polmoni Cosa Sono
Capire Il Mondo Attraverso Una Bolla
Cornice Copd Manifesto Copd Sagoma Ostruttivo Polmoni Aria Bolle Fondo Vettore Centers Malattia Simbolo Canstock
Contusione Polmonare Wikipedia
Polmonite Cause Fattori Di Rischio Sintomi Diagnosi E Cura Della Principale Causa Di Morte Infantile Meteoweb
Pneumotorace Malattie Polmonari Manuali Msd Edizione Professionisti
Malattie Della Pleura
Pneumotorace Spontaneo Ospedale Pediatrico Bambino Gesu
Semeiotica Del Torace Rumori Respiratori Normali E Patologici Medicina Online
Pneumotorace Spontaneo O Da Trauma Sintomi Cause E Terapia
Bolla Polmonare Www Vet Moser It Vetclinic Bozen Bolzano Dr Georg Moser Dr Simon Kirchler
Malattie Della Pleura
Lo Pneumotorace
Sict Societa Italiana Di Chirurgia Toracica Bolle Di Enfisema
Pneumotorace Le Malattie Dell Apparato Respiratorio
Pneumotorace Ecco Perche A Volte Il Polmone Si Sgonfia Ok Salute
Pneumotorace Ecco Perche A Volte Il Polmone Si Sgonfia Ok Salute
Pneumotorace Disturbi Polmonari E Delle Vie Respiratorie Manuale Msd Versione Per I Pazienti
Enfisema Polmonare Prevenzione E Recupero Fondazione Vita E Salute
Embolia Gassosa Arteriosa Sportmedicina Org
Tgvet Cuore Polmonare
Versamento Pleurico Sistema Respiratorio In Pericolo Multimedica
Pneumotorace Cause E Sintomi
Enfisema Cause E Disturbi Issalute
Ascesso Polmonare Cause Sintomi Diagnosi Terapia Prognosi Morte Medicina Online
Che Cosa E Lo Scambio Di Gas Nel Sangue Nei Polmoni E Nei Tessuti Caratteristiche Di Scambio Di Gas Scienza 21


