Denti Sporgenti
Occlusione Dentale Cause Problemi Posturali E Rimedi Ginnastica Posturale
Denti Da Coniglio Come Correggere I Denti Sporgenti
Denti Sporgenti Diagnosi Precoce E Corretta Informazione Facexp It
Disarmonie Dei Denti Studio Autieri Doglio
Denti Sporgenti Ii Classe Conte Associati
Denti Sporgenti Cause E Rimedi
Grazie a voi la base di definizione può essere arricchita Questo è sufficiente per compilare la vostra definizione nel modulo Le definizioni verranno aggiunte dopo al dizionario, così i futuri utenti ricevono la definizione dopo la definizione.
Denti sporgenti. Denti sporgenti buck teeth mettere i denti to teethe mal di denti toothache avere mal di denti to have toothache lavarsi i denti to clean or brush one’s teeth mi lavo i denti dopo ogni pasto I clean my teeth after every meal See dente del giudizio. Andrea Malesani 4 Si consideri un riduttore bistadio di serie, ad ingranaggi cilindrici a denti dritti, con assi di ingresso e di uscita coassiali disposti come nello schema sotto riportato, ad alberi sporgenti Il riduttore deve collegare in modo coassiale un motore elettrico asicrono trifase al tamburo di un nastro trasportatore. Denti sporgenti buck teeth mettere i denti to teethe mal di denti toothache avere mal di denti to have toothache lavarsi i denti to clean o brush one's teeth mi lavo i denti dopo ogni pasto I clean my teeth after every meal ♦ dente del giudizio wisdom tooth ♦ dente da latte milk tooth.
In every language, teeth come in various shapes and forms denti da latte (baby teeth), denti del giudizio (wisdom teeth), canini (canines or eye teeth), denti molari (molars or back teeth) and sometimes denti sporgenti (“buck” teeth) called denti da coniglio (rabbit teeth) or denti da cavallo (horse teeth) in Italian slang. Fai il testhttps//ortodonziatorinoit/iscrivitiDenti dritti subito, in poco tempo È possibile?Questa é una pubblicità che sta acquistando popolarità sul. Un attrezzo a denti sporgenti del falegname 5 raspa Cosa vedo?.
Colore nero I suoi denti erano gialli e sporgenti Al centro del viso spuntava un naso a patata Aveva grandi orecchie attaccate al capo I suoi occhi neri ricordavano le notti buie senza luna L’orco Casimiro viveva in una palude all’interno di una foresta di cui era il padrone. Con il termine denti sporgenti si fa riferimento a quella condizione in cui i denti anteriori sporgono sul labbro arrivando in alcuni casi a ricoprire il labbro inferiore (condizione spesso definita “denti da coniglio”) Rappresenta una delle malocclusioni più diffuse ed è causata da una dislocazione delle arcate dentali la mascella (arcata superiore) si trova in una posizione più. Incisivi superiori sporgenti 22 giugno 11 alle 2224 Ultima risposta 4 agosto 11 alle 1232 (meglio rigida) su delle impronte nuove dei tuoi denti Con quella, ti si mantengono i denti in posizione eventualmente da prtare di notte Oppure farti fare un mantenitore di posizione tipo "bite".
Con i denti sporgenti loc agg locuzione aggettivale Espressione di più parole che descrive o specifica un sostantivo "C'è del tonno in scatola" "Ho seguito il metodo fai da te" finetooth n as adj noun as adjective Describes another nounfor example, "boat race," "dogfood" (comb, etc with teeth close together) (pettini, ecc). Denti sporgenti, grosso e con gli artigli Protruding gap fillers were a problem because they disrupted the normally laminar air flow under the orbiter during reentry, causing turbulence at lower speeds I gap filler sporgenti sono un problema perché disturbano il normale flusso d'aria laminare sotto l'orbiter durante il rientro,. Da sotto i baffi gli spuntano due denti aguzzi e sporgenti e labbra rosse e piene e direi che per me il libro poteva finire qui, perché a denti aguzzi io avrei salutato, ringraziato per la cena e tolto il disturbo Ma Jonathan, che pur di non tornare a casa e sposarsi sarebbe disposto a staccarsi un braccio a morsi, fa finta di niente e.
Un attrezzo a denti sporgenti del falegname 5 raspa Cosa vedo?. I denti sporgenti o "denti a castoro" sono un inestetismo che colpisce molte persone Scopri quali sono le cause e come correggerli. Hanno solitamente pelle color verde spento, grossolani capelli scuri, piccoli occhi rossi e denti sporgenti, simili a zanne Gli orchi considerano le cicatrici un segno di distinzione e spesso le utilizzano come una forma d'arte Nomi Maschili Arkus, Carrug, Felzak, Murdut, Prabur Femminili Durra, Grillgiss, Ilyat, Krugga, Leffit, Olbin.
It Ma la cosa che si notava di più erano le enormi maschere grottesche multicolori, che avevano corna, occhi sporgenti e, spesso, denti in fuori jw19 en But most outstanding were the huge, grotesque multicolored masks, with horns, prominent eyes and, often, bared teeth. Ciao Io l'ho portato,i denti li ho sempre avuti piú o meno dritti da quando avevo portato a14 anni l'apparecchio classico che é toccato a tuttiperó siccome go dovuto togliere tutti e 4 i denti del giudizio in un colpo solo (non mi ci far ripensarebrrr),il dentista mi ha dato invisalign per spostare prima e mantenere la situazione dopo,anche xke con quest'apparecchio non serve che lui. Quando si usa il termine denti sporgenti si parla generalmente dei grandi denti anteriori che sporgono sul labbro e che talvolta coprono anche l’intero labbro inferiore Sono colloquialmente.
Mattia ha solo nove anni, ma non gli dispiace per niente pensare di non dover più andare a scuola, di non dover più affrontare i suoi compagni di classe che lo prendono in giro per i suoi denti sporgenti da coniglio ma sì, in fondo è bello stare a casa, senza l’obbligo di noiosi compiti e senza dover nemmeno interfacciarsi con il mondo. Nel novero delle terapie per i casi di “DENTI SPORGENTI”rientrano dispositivi in grado di determinare una dislocazione in avanti della mandibola o dispositivi in grado di contrastare la crescita del mascellare superiore. Quando la ruota del carro gira, un ingranaggio sul mozzo della ruota rotante colpisce uno dei bracci sporgenti dell'asta di trasmissione del meccanismo Sei giri della ruota del carro producono una rotazione completa dell'asta Ad ogni rotazione dell'asta, i fili all'estremità superiore disegnano un dente della ruota dentata a 60 denti.
Grazie a voi la base di definizione può essere arricchita Questo è sufficiente per compilare la vostra definizione nel modulo Le definizioni verranno aggiunte dopo al dizionario, così i futuri utenti ricevono la definizione dopo la definizione. Correzione dei denti sporgenti a Napoli I denti sporgenti, chiamati in ortodonzia malocclusione di seconda classe sono fra i problemi di disallineamento dentale più comuni nei pazienti in crescita La malocclusione di seconda classe può essere causata da una anomala posizione dei denti, ma più spesso è il segno di un rapporto scorretto fra l’osso mascellare e quello della mandibola con. Come ad esempio 🧸 denti sporgenti, detti anche “denti a topino” 🧸 mancanza di spazio con incisivi laterali che non scendono 🧸 denti accavallati Se hai riscontrato alcune di queste situazioni scegli gli Studi Dentistici Buongiorno a Pontedera (PI) e prenota gratuitamente il 𝘾𝙝𝙚𝙘𝙠 𝙐𝙥 𝘿𝙚𝙣𝙩𝙞.
Denti sporgenti buck teeth mettere i denti to teethe mal di denti toothache avere mal di denti to have toothache lavarsi i denti to clean o brush one's teeth mi lavo i denti dopo ogni pasto I clean my teeth after every meal ♦ dente del giudizio wisdom tooth ♦ dente da latte milk tooth. Grazie a voi la base di definizione può essere arricchita Questo è sufficiente per compilare la vostra definizione nel modulo Le definizioni verranno aggiunte dopo al dizionario, così i futuri utenti ricevono la definizione dopo la definizione. Shep, un povero cane indesiderato, dal testone sgraziato e i denti sporgenti, viene scacciato dai suoi proprietari Shep si ritrova da solo, in un mondo pieno di pericoli Il sogno di trovare qualcuno che l’accetti per il cane che è lo porta a casa dell’Uomo Solitario Assieme, i due conoscono la gioia dell’amicizia.
Incisivi superiori sporgenti 22 giugno 11 alle 2224 Ultima risposta 4 agosto 11 alle 1232 (meglio rigida) su delle impronte nuove dei tuoi denti Con quella, ti si mantengono i denti in posizione eventualmente da prtare di notte Oppure farti fare un mantenitore di posizione tipo "bite". I denti sporgenti infatti, in Giappone non sono proprio un problema, anzi alcune ragazze che hanno la "sfortuna" di nascere con dei denti allineati, corrono dal dentista a farseli "storcere" In realtà la tecnica consiste nell'applicare delle "placchette" sopra i denti naturali (per la precisione i canini) per creare un effetto felino o meglio. I denti sporgenti di Richard lo facevano sembrare un castoro protruding adj adjective Describes a noun or pronounfor example, "a tall girl," "an interesting book," "a big house" (nail sticking out) sporgente, aggettante agg aggettivo Descrive o specifica un sostantivo "Una persona fidata" "Con un cacciavite piccolo" "Questioni.
Plate Top chains fitted with steel top plates are designed for abrasive and heavy duty or hightemperature conditions 963, 1873, and 3873series, with “snapon” plastic top plates combine the benefits of a plastic conveying surface with those of a precision roller base chain less. I denti sporgenti infatti, in Giappone non sono proprio un problema, anzi alcune ragazze che hanno la "sfortuna" di nascere con dei denti allineati, corrono dal dentista a farseli "storcere" In realtà la tecnica consiste nell'applicare delle "placchette" sopra i denti naturali (per la precisione i canini) per creare un effetto felino o meglio. Se hai i denti storti, disallineati o che si accavallano, stai probabilmente pensando di iniziare un trattamento ortodontico E magari anche tu, come moltissimi altri adulti e adolescenti, vorresti affidarti a Invisalign, l’apparecchio dentale invisibile che si avvale di mascherine per denti trasparenti che vanno cambiate ogni 15 giorni Se ti stai domandando come possono ad apparire i tuoi.
Andrea Malesani 4 Si consideri un riduttore bistadio di serie, ad ingranaggi cilindrici a denti dritti, con assi di ingresso e di uscita coassiali disposti come nello schema sotto riportato, ad alberi sporgenti Il riduttore deve collegare in modo coassiale un motore elettrico asicrono trifase al tamburo di un nastro trasportatore. Sporgenti dell'apparecchio e di sensibilità dei denti A volte interviene una lieve dolenzia dentale spontanea e alla masticazione Nel giro di pochi giorni i fastidi vanno ad attenuarsi, fino a scomparire i recettori parodontali del dolore, che si attivano a causa. I denti sporgenti dell'elefante 5 zanne Cosa vedo?.
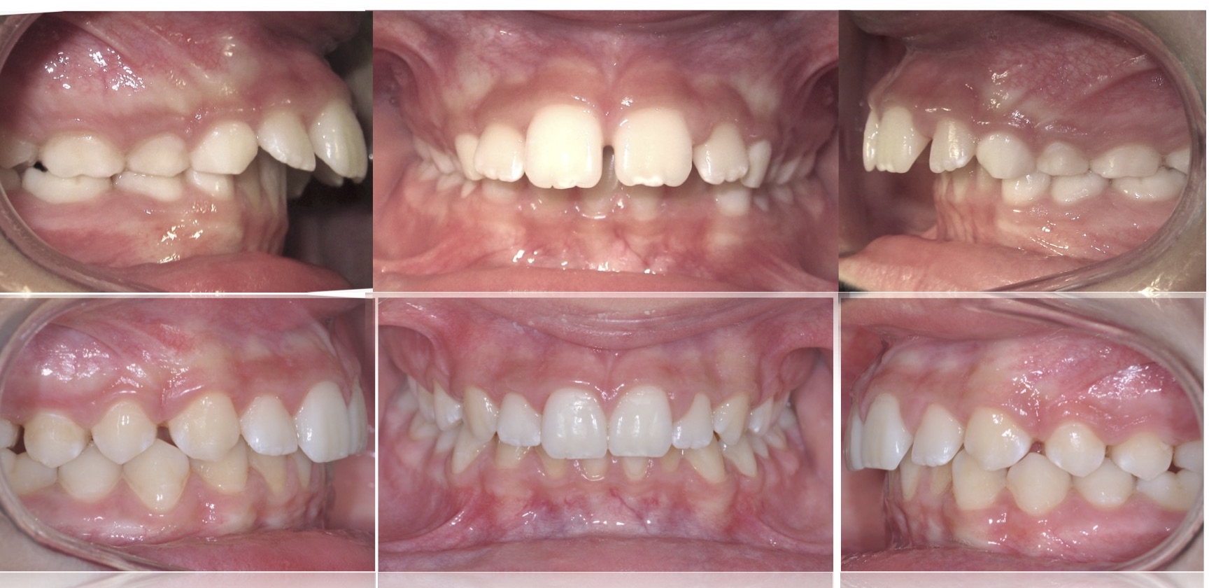
Hanno solitamente pelle color verde spento, grossolani capelli scuri, piccoli occhi rossi e denti sporgenti, simili a zanne Gli orchi considerano le cicatrici un segno di distinzione e spesso le utilizzano come una forma d'arte Nomi Maschili Arkus, Carrug, Felzak, Murdut, Prabur Femminili Durra, Grillgiss, Ilyat, Krugga, Leffit, Olbin. Denti sporgenti esempio di correzione 3 Febbraio 19 7 Dicembre 17 di Dr Tito Mattia Bordino I denti sporgenti ( video ) sono un problema estetico che i pazienti non accettano. Il termine denti sporgenti viene utilizzato generalmente per indicare una condizione in cui i denti anteriori, solitamente molto grandi, sporgono sul labbro andando a coprire anche il labbro inferiore.
I denti sporgenti di Richard lo facevano sembrare un castoro protruding adj adjective Describes a noun or pronounfor example, "a tall girl," "an interesting book," "a big house" (nail sticking out) sporgente, aggettante agg aggettivo Descrive o specifica un sostantivo "Una persona fidata" "Con un cacciavite piccolo" "Questioni. Acute all'apice allungato Alpi alpini antere appena assai base basso Boschi brattee brevi carena cassula caule centro ciascuna cilindrico colla Corsica costa culmo deiscenti dell'Italia dell'ovario denti disposti dorso eretti Estate esterni filamenti filiformi fiori foglie forma fronda frutto Giugn glabro Glmtt globosi glume glumetta inferiore. Disclaimer All content on this website, including dictionary, thesaurus, literature, geography, and other reference data is for informational purposes only.
Plate Top chains fitted with steel top plates are designed for abrasive and heavy duty or hightemperature conditions 963, 1873, and 3873series, with “snapon” plastic top plates combine the benefits of a plastic conveying surface with those of a precision roller base chain less. I denti sporgenti o "denti a castoro" sono un inestetismo che colpisce molte persone Scopri quali sono le cause e come correggerli. Acute all'apice allungato Alpi alpini antere appena assai base basso Boschi brattee brevi carena cassula caule centro ciascuna cilindrico colla Corsica costa culmo deiscenti dell'Italia dell'ovario denti disposti dorso eretti Estate esterni filamenti filiformi fiori foglie forma fronda frutto Giugn glabro Glmtt globosi glume glumetta inferiore.
A vere i denti sporgenti è fortemente condizionante dal punto di vista sociale, ma non è solo un problema di carattere antiestetico finendo con l’avere ripercussioni anche importanti sulla salute generale delle persone Il fenomeno rappresenta uno dei casi di malocclusioni più frequenti I denti che sporgono, detti anche denti da coniglio, arrivano in taluni casi a compromettere la. Nel novero delle terapie per i casi di “DENTI SPORGENTI”rientrano dispositivi in grado di determinare una dislocazione in avanti della mandibola o dispositivi in grado di contrastare la crescita del mascellare superiore. Il termine denti sporgenti viene utilizzato generalmente per indicare una condizione in cui i denti anteriori, solitamente molto grandi, sporgono sul labbro andando a coprire anche il labbro inferiore Vengono comunemente chiamati anche ”denti da coniglio” o “denti da castoro” In ambito medico i denti sporgenti vengono indicati come malocclusione dentale di seconda classe e tale.
In presenza di denti sporgenti dovuti a una cattiva abitudine orale, come accade in particolar modo nei bambini, prima di iniziare il trattamento vero e proprio conviene innanzitutto modificare questi comportamenti Conseguenze della retrognazia. Per un bambino avere i denti sporgenti può essere motivo di disagio psicologico, perché può essere oggetto di scherno da parte dei suoi coetanei Spinti spesso da questa ragione, i genitori si decidono a portare il proprio figlio dal dentista, per sottoporlo a terapie che possano raddrizzare i suoi denti Ma in realtà, questo non è il motivo più importante per cui è necessario. Grazie a voi la base di definizione può essere arricchita Questo è sufficiente per compilare la vostra definizione nel modulo Le definizioni verranno aggiunte dopo al dizionario, così i futuri utenti ricevono la definizione dopo la definizione.
Spesso è descritta come un animale simile ad un canide o ad un marsupiale, con la presenza d'ali sul dorso (definito anche cane alato), privo di peli con denti sporgenti e appuntiti e artigli Alcuni testimoni affermano che il chupacabras sarebbe in possesso di poteri paranormali e che sia in grado di cambiare colore e di mimetizzarsi come i. Denti sporgenti, grosso e con gli artigli Protruding teeth, large, and some claws La dentizione degli equini, ha caratteristiche particolari i denti sono allineati lungo file sporgenti. Quando si usa il termine denti sporgenti si parla generalmente dei grandi denti anteriori che sporgono sul labbro e che talvolta coprono anche l’intero labbro inferiore Sono colloquialmente.
Mascelle/Denti Chiusura a forbice o a tenaglia Enognatismo, prognatismo o qualsiasi altra anomalia della mascella superiore o inferiore, devono essere severamente penalizzate Occhi Larghi, rotondeggianti nella forma, molto espressivi, non sporgenti, perfettamente scuri. Ho messo l'apparecchio fisso ai denti un mese fà per un problema di affollamento dei denti e di mal occlusione, e in più ho i denti del giudizio dell'arcata inferiore che nn avendo trovato spazio ,non sono usciti e si sono messi storti battendo sugli altri denti vorrei sapere sè qualcuna di voi sa se è previsto dalla sanità un rimborso spese. Acute all'apice allungato Alpi alpini antere appena assai base basso Boschi brattee brevi carena cassula caule centro ciascuna cilindrico colla Corsica costa culmo deiscenti dell'Italia dell'ovario denti disposti dorso eretti Estate esterni filamenti filiformi fiori foglie forma fronda frutto Giugn glabro Glmtt globosi glume glumetta inferiore.
Da sotto i baffi gli spuntano due denti aguzzi e sporgenti e labbra rosse e piene e direi che per me il libro poteva finire qui, perché a denti aguzzi io avrei salutato, ringraziato per la cena e tolto il disturbo Ma Jonathan, che pur di non tornare a casa e sposarsi sarebbe disposto a staccarsi un braccio a morsi, fa finta di niente e. Descrivere una persona – la bocca le labbra grosse sporgenti tumide gonfie i denti puliti bianchi perfetti regolari sani sporchi giallastri neri daniela arlotti antonio milanese cariati da coniglio con i canini appuntiti da vampiro secche screpolate lisce ruvide a cuore siliconate carnose sottili truccate 12.
Denti Delle Star I Sorrisi Dei Vip Prima E Dopo Il Dentista
Insultata Sul Web Per I Suoi Denti Sporgenti La Tv Paga L Operazione Ad Emma Il Mattino It
Ho Il Canino Sporgente
Quando I Denti Sono Sporgenti E Il Chirurgia Plastica Dott Ssa Tarico Maria Stella Facebook
Denti Sporgenti Come Correggerli Anche Da Adulti Studio Dentistico Delfino Anzisi
Polispecialistico Meroni Il Tuo Dentista A Cantu Como Impianti Dentali Igiene E Prevenzione Dentale Ortodonzia Fissa Tradizionale Profilo Sporgente
Denti Sporgenti Ii Classi Studio Ortodonzia Sandra Corti Segrate Mi
Apparecchio Ai Denti Come Sceglierlo E Quando Metterlo
Casi Clinici Studio Dentistico Barbagallo Zanzottera
Denti Storti Archivi Studio Odontoiatrico Virno
Denti Sporgenti 2 Classe
Denti Sporgenti Dott Nicola Preda
Denti Sporgenti Archivi Studio Dentistico Malara A Reggio Calabria Dott Ssa Agata Malara
I Sorrisi Imperfetti Delle Star
Denti Sporgenti Nei Bambini Perche Correggerli Al Momento Giusto Mp Dental Studio
Allineare I Denti Con L Apparecchio Invisibile
Succhiamento E Malocclusione In Eta Pediatrica Dentalnext
Denti Sporgenti A Forte Rischio Fratture In Bambini E Adulti Dott Ssa Bittante
Denti Sporgenti Cause E Rimedi Wedental Care
Denti Sporgenti Come Correggerli Anche Da Adulti Studio Dentistico Delfino Anzisi
Denti Sporgenti Cause E Rimedi In Bambini E Adulti Ireos Dental
Domande Frequenti
Denti Storti Cause E Rimedi Senza Apparecchio Clinica Del Benessere Dentale
Denti Sporgenti Dott Ri Mobrici Rastelli
Denti Da Coniglio Come Correggere I Denti Sporgenti
Denti Sporgenti Ii Classe Conte Associati
Denti Sporgenti Cosa Fare
Denti Sporgenti Quali Sono Le Cause Un Blog Per Due
Denti Sporgenti Studio Dentistico Compri
Denti Sporgenti Cause E Rimedi I Dentisti Di Famiglia
Denti Sporgenti E Sorriso Gengivale Elastodontic Therapy
Denti Sporgenti Ii Classe
Trattamenti Ortodontici Adolescenti Studio Dentistico Cesaretti
Trattamento Ortodontico Bambini Quando Iniziare E Perche Studio Ortodonzia Dr D Amico
Un Caso Con Diastemi Denti Sporgenti Coretto Con Invisalign Studio Dentistico Dott Alberto Gentile
Casi Clinici Studio Associato Laino Dentista Napoli E Torre Del Greco
Denti Sporgenti Cause E Rimedi I Dentisti Di Famiglia
Blog Notizie Ed Approfondimenti Studio Santori
Denti Sporgenti Esempio Di Correzione Ortodonzia Torino
Il Ragazzo Neozelandese Veniva Preso In Giro Per I Suoi Denti Sporgenti Dopo Cinque Anni Di Trattamento Puo Sfoggiare Il Suo Bellissimo Sorriso Al Mondo Intero
Denti Sporgenti E Sorriso Gengivale Elastodontic Therapy
Denti Sporgenti Ii Classe
Ortodonzia Ecco 6 Cose Che Dovresti Sapere
Denti Sporgenti
Denti Superiori Troppo Sporgenti Societa Italiana Di Ortodonzia
La Trazione Extra Orale Una Soluzione Semplice Per I Denti Sporgenti Societa Italiana Di Ortodonzia
Denti Sporgenti Ii Classe
Denti Sporgenti
Ortodonzia Linguale Che Cos E Sintomi Cause Prevenzione E Trattamento Top Doctors
Denti Sporgenti Cause E Rimedi Wedental Care
Trattamenti Ortodontici Adolescenti Studio Dentistico Cesaretti
Casi Clinici Studio Dentistico Barbagallo Zanzottera
Denti Sporgenti Nei Bambini Perche Correggerli Al Momento Giusto Mp Dental Studio
Denti Sporgenti E Sorriso Gengivale Elastodontic Therapy
Servizi Dentistici
Denti Sporgenti Ii Classe Studio Odontoiatrico Monaco
Denti Sporgenti Come Proteggerli Dai Danni E Dalle Conseguenze A Lungo Termine Il Bruxismo
Denti Sporgenti Ii Classe
Faccette Dentali Contro I Denti Sporgenti
Denti Inclinati E Sporgenti
Gengive Sporgenti Soluzioni In 1 Ora Cannizzo Studio Dentistico
Denti Sporgenti Ii Classe
Cosa Sapere Sui Denti Sporgenti Centro Face Dr Ssa Barina Srl
Denti Sporgenti E Sorriso Gengivale Elastodontic Therapy
Trattamenti Ortodontici Adolescenti 12 18 Anni
Denti Sporgenti Cosa Fare Cause E Cure Per La Retrognazia Ident Roma
Denti Sporgenti Cosa Bisogna Sapere Parmakids It
Denti Sporgenti Cause E Rimedi Studio Santori
Denti Storti Sporgenti A Che Eta Intervenire
Casi Clinici Studio Dentistico Barbagallo Zanzottera
Affollamento Dentale Quali Sono Le Cause E Le Cure Ident Roma
Denti Sporgenti Cosa Bisogna Sapere Parmakids It
Limare I Denti Quando E Perche Fare Il Rimodellamento Studio Dentistico Cozzolino
Denti Sporgenti Dott Ri Mobrici Rastelli
Denti Sporgenti Esempio Di Correzione Ortodonzia Torino
Griu Il Gatto Vampiro Che Nessuno Voleva Adottare A Causa Dei Suoi Denti Sporgenti La Stampa
Stranezze Dal Mondo I Denti Storti E I Denti Neri Sono Sinonimo Di Bellezza In Giappone
Denti Sporgenti Cosa Fare Rimedi E Trattamenti Della Recessione Gengivale Fisiologica Causata Da Radici Dei Denti Molto Sporgenti Odontobi
Polispecialistico Meroni Il Tuo Dentista A Cantu Como Impianti Dentali Igiene E Prevenzione Dentale Ortodonzia Fissa Tradizionale Profilo Sporgente
Casi Clinici Ortodontici Studio Ortodonzia Dr D Amico
I Denti A Coniglietto Ce Ne Parla L Ortodontista Mammemarchigiane It
2 Denti Sporgenti Affollamento Dentario Cozzolino Zerodonto Dental Office
Denti Sporgenti Cosa Bisogna Sapere Parmakids It
Denti Sporgenti Cosa Fare
Un Italiano Su Tre Digrigna I Denti Come Rimediare Studio Dentistico Dott Giulio Manca
Denti E Gengive La Valutazione Estetica Per Un Bel Sorriso Facexp It
Preso In Giro Per I Denti Da Coniglio Anni Dopo Ha Un Aspetto Irriconoscibile Youtube
Disarmonie Dei Denti Studio Autieri Doglio
Denti Sporgenti Esempio Di Correzione Ortodonzia Torino
A M O Sorridere Ortodonzia A Vicenza E Padova Caso Adulto Con Denti Sporgenti A M O Sorridere Ortodonzia A Vicenza E Padova
Denti Da Coniglio Come Correggere I Denti Sporgenti
Net Toys Denti Sporgenti Da Coniglio Incisivi Bianchi Zanne Per Costumi Di Carnevale Amazon It Giochi E Giocattoli
Gli Apparecchi Per I Denti Vantaggi E Costi Di Una Corretta Terapia
Denti Sporgenti Cosa Sono Qual E La Causa Esistono Rimedi Pazienti It


