Istiocitosi X
Malattia Di Rosai Dorfman O Istiocitosi Dei Seni Con Adenopatie
Siapec Gruppo Italiano Di Immunoistochimica Gym G I Im
Chirurgia Orale Patologie Sistemiche Che Aumentano Il Rischio D Infezione Pagina 2 Di 5
Oncologia Atlante Medicina
Ppt Usual Interstitial Pneumonia Powerpoint Presentation Free Download Id
Il Caso Istiocitosi X
L'istiocitosi a cellule di Langerhans (LCH) o malattia di HandSchüllerChristian è una rara patologia che riguarda l'irregolare proliferazione delle cellule dendritiche mononucleate, vengono coinvolti molti organi e parti del corpo (milza, fegato, polmone, sistema nervoso centrale, emopoietico, cute, ma anche denti e ossa).
Istiocitosi x. Polmonare istiocitosi X (granulomatosi istiocitario polmone, granuloma eosinofilo, granulomatosi polmonare, X, istiocitosi X) retikulogistiotsitarnoy malattia del sistema ad eziologia sconosciuta, caratterizzata dalla proliferazione di istiociti (cellule X) e la formazione nei polmoni e in altri organi e tessuti granulomi istiocitici. Istiocitosi generalizzata, Istiocitosi X, Malattia di LettererSiwe, Granulomatosi a cellule di Langerhans, Sindrome di HandSchuellerChristian, Xantomatosi idiopatica cronica, Malattia di HandSchuellerChristian, Istiocitosi a cellule di Langerhans, Istiocitosi delle cellule di Langerhans Croatian Not TranslatedHistiocytosis, LangerhansCell. Istiocitosi X e Limfangioleiomiomatosi Sergio Harari UO di Pneumologia e UTIR Servizio di Emodinamica e Fisiopatologia Respiratoria Ospedale San Giuseppe Milano XIII Disease’s Management in Medicina Respiratoria 2728 settembre 13.
The subsequent course confirmed the ominous significance of cholestasis in histiocytosis X, a rare finding in this disease One patient died of progressive liver failure and three others from sepsis after unsuccessful attempts to improve the condition of the liver with chemotherapy. Inoltre, le razze e le linee genetiche devono essere selezionate al fine di evitare malattie specifiche o problemi sanitari connessi con alcune razze e linee genetiche utilizzate nella produzione intensiva, quali ad esempio sindrome da stress dei suini, sindrome PSE (carni pallide, molli, essudative), morte improvvisa, aborto spontaneo, parti difficili che richiedono taglio cesareo. M Guarino Cleto Cozzutto Riassunto La indagine ultrastructturale in un caso di istiocitosi X (malattia di Hand.
Granuloma eosinofilo del polmone istiocitosi polmonare a cellule di Langerhans istiocitosi X polmonare malattia di NiemannPick INCONTEXT TRANSLATIONS Elenco di reti di riferimento europee pilota per le malattie rare · Dyscerne rete europea dei centri di riferimento per la dismorfologia · ECORN CF rete europea dei centri di. Dear Friends, The fifth chapter of “The wisdom of Dr Pepe” is the last presentation of this blog series and ends the present season The axial CT images below belong to a 37yearold woman, who was operated on five years ago for a retroperitoneal tumour. Gli autori riferiscono su un caso di diabete insipido insorto acutamente, riscontrato in una paziente affetta da Istiocitosi X Sono discussi i reperti RM, consistenti in un marcato ispessimento del peduncolo ipofisario e scomparsa dell'iperintesità di segnale della neuroipofisi nelle immagini sagittali T1pesate.
Histiocytosis X is an entity which includes LettererSiwe disease, HandSchüllerChristian disease, and eosinophilic granuloma The first two diseases, more common in infants and young children, have either an acute or chronic course. Raro caso di istiocitosi multifocaler a cellule di Langerhans Case Report Data di pubblicazione 16 Abstract INTRODUCTION Langerhans cell histiocytosis (LCH) is a rare disorder characterized by high proliferation of Langerhans dendritic cells LCH is a solitary or multifocal disease that primarily involves bone tissue. CSS Istiocitosi Giornate AIEOP Verona 06 (2 hours) q12 hours x 10 doses 2chlorodeoxyadenosine (2CdA) 9 mg/m2 iv (2 hours) daily x 5 Course 1 LCHS05 Major endpoint Response rate after two courses of therapy, evaluated at 910 weeks from the initiation of the first course therapy The response is considered as favorable if the.
Istiocitosi X Polmonare Prognosi e terapia L’unica terapia veramente efficace dell’istiocitosi X polmonare è rappresentata dall’immediata sospensione dell’abitudine al fumo di tabacco, che da sola può determinare la completa remissione della malattia indipendentemente dallo stadio. I Guerrieri Per Caso Gruppo di malati di istiocitosi a cellule di Langerhans e loro familiari, amici, sostenitori. Contextual translation of "istiocitosi" from Italian into Portuguese Examples translated by humans histiocitose, histiocitoses, hemofagocitose, histiocitose x.
All unstructured text is available under the Creative Commons AttributionShareAlike License;. This page was last edited on 2 July 19, at 1536 Files are available under licenses specified on their description page All structured data from the file and property namespaces is available under the Creative Commons CC0 License;. Langerhans cell histiocytosis (LCH) is an abnormal clonal proliferation of Langerhans cells, abnormal cells deriving from bone marrow and capable of migrating from skin to lymph nodesSymptoms range from isolated bone lesions to multisystem disease.
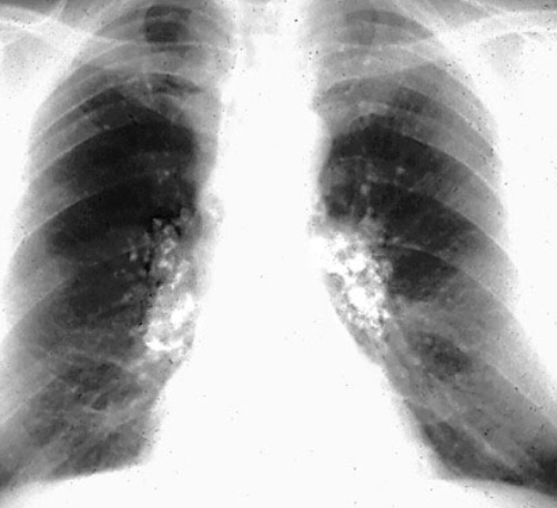
Hemophagocytic lymphohistiocytosis (HLH), also known as haemophagocytic lymphohistiocytosis (British spelling), and hemophagocytic or haemophagocytic syndrome, is an uncommon hematologic disorder seen more often in children than in adults It is a lifethreatening disease of severe hyperinflammation caused by uncontrolled proliferation of activated lymphocytes and macrophages, characterised by. Istiocitosi X Vasculiti Istiocitosi non a cellule di Langherans Nessuna delle precedenti cattivo esempio buon esempio Linfonodi mediastinici < 2 cm Esito fibrocalcifico apicale destro Mcronoduli polmonari vicino alle pleure e sui vasi Placche pleuriche nette, bilaterali, simmetriche. L'istiocitosi polmonare a cellule di Langerhans è la proliferazione di cellule monoclonali di Langerhans nell'interstizio polmonare e negli spazi aerei L'eziologia è sconosciuta, ma il fumo di sigaretta svolge un ruolo di primaria importanza I sintomi sono la dispnea, la tosse, l'astenia e il dolore toracico di tipo pleuritico.
Istiocitosi generalizzata, Istiocitosi X, Malattia di LettererSiwe, Granulomatosi a cellule di Langerhans, Sindrome di HandSchuellerChristian, Xantomatosi idiopatica cronica, Malattia di HandSchuellerChristian, Istiocitosi a cellule di Langerhans, Istiocitosi delle cellule di Langerhans Croatian Not TranslatedHistiocytosis, LangerhansCell. Langerhans cell histiocytosis (LCH) is an abnormal clonal proliferation of Langerhans cells, abnormal cells deriving from bone marrow and capable of migrating from skin to lymph nodesSymptoms range from isolated bone lesions to multisystem disease. L'istiocitosi a cellule di Langerhans (LCH) o malattia di HandSchüllerChristian è una rara patologia che riguarda l'irregolare proliferazione delle cellule dendritiche mononucleate, vengono coinvolti molti organi e parti del corpo (milza, fegato, polmone, sistema nervoso centrale, emopoietico, cute, ma anche denti e ossa).
La indagine ultrastructturale in un caso di istiocitosi X (malattia di HandSchüllerChristian in una bambina di 13 anni) ha dimostrato nelle mastcell Morphogenesis of some dense laminated bodies in histiocytosis X SpringerLink. A case of vertebral histiocytosisX is presented in a patient suffering from myeloradicular compression symptoms The diagnosis was reached after CTguided biopsy, despite spinal MR tests The pat. View and Download PowerPoint Presentations on Hemophagocytic Histiocytosis PPT Find PowerPoint Presentations and Slides using the power of XPowerPointcom, find free presentations research about Hemophagocytic Histiocytosis PPT.
Lavaggio broncoalveolare 1 BAL una finestra aperta sul polmone 2 Lavaggio Bronchiolo Alveolare (BAL) Si effettua mediante broncoscopio flessibile la punta dello strumento si introduce in un bronco segmentario e si “lava” il settore di polmone a valle con soluzione fisiologica per recuperare il lining bronchioloalveolare. Istiocitosi X Spiega l'interessamento dei polmoni e That old soak was Witness X You can complete the translation of X given by the EnglishItalian Collins dictionary with other dictionaries such as Wikipedia, Lexilogos, Larousse dictionary, Le Robert, Oxford, Grévisse. MALATTIE POLMONARI INTERTIZIALI Fibrosi polmonare idiopatica (UIP, polmonite interstiziale comune, alveolite fibrosante criptogenetica) Malattie del collagene e autoimmuni Vasculiti sistemiche Granuloma eosinofilo, Istiocitosi X Malattia polmonare eosinofila Linfangioleiomatosi Sarcoidosi Polmonite interstiziale desquamativa Pneumopatia.
Xray small nodules generally up to 1 cm and variably sized cysts High resolution CT bronchiolocentric stellate nodules possibly with surrounding ground glass opacities, some with faint lucent cavity Advanced disease with cysts, emphysema adjacent to scarring, reticular and nodular opacities, honeycombing, can mimic IPF. Prolonged cholestasis was observed in 6 children with histiocytosis X Operative cholangiograms confirmed the patency of the extrahepatic biliary tree and showed marked distortion of intrahepatic bile ducts resembling that observed in sclerosing cholangitis Histologic examination showed portal fibrosis in all patients;. I Guerrieri Per Caso Gruppo di malati di istiocitosi a cellule di Langerhans e loro familiari, amici, sostenitori.
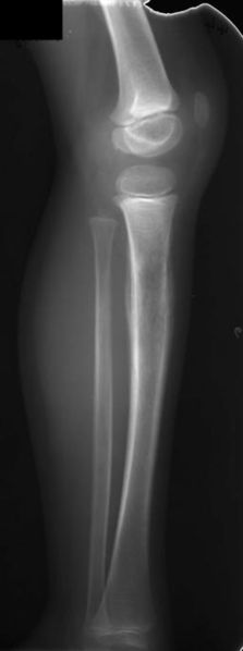
The skeleton is the most commonly involved organ system in Langerhans cell histiocytosis (LCH) and is by far the most common location for singlelesion LCH, often referred to as eosinophilic granuloma (EG) (the terms are used interchangeably in this article)For a general discussion of this disease please refer to the article on Langerhans cell histiocytosis (LCH). Ciao sono Sonia all'età di 5 anni mi sono stati diagnosticati 2 istiocitosi X, uno all'omero dx ed un altro al femore sx Ho fatto 2 anni di chemioterapia e fortunatamente sono guarita Oggi ho 29 anni faccio un lavoro dove il mio tempo lo passo all'impiedi e alzando pesi!. Download PDF Sorry, we are unable to provide the full text but you may find it at the following location(s) http//hdlhandlenet//15 (external link).
EMail Address Password Forgotten Password?. Only one was found to have portal histiocytic infiltration. Istiocitosi generalizzata, Istiocitosi X, Malattia di LettererSiwe, Granulomatosi a cellule di Langerhans, Sindrome di HandSchuellerChristian, Xantomatosi idiopatica cronica, Malattia di HandSchuellerChristian, Istiocitosi a cellule di Langerhans, Istiocitosi delle cellule di Langerhans Croatian Not TranslatedHistiocytosis, LangerhansCell.
Xray small nodules generally up to 1 cm and variably sized cysts High resolution CT bronchiolocentric stellate nodules possibly with surrounding ground glass opacities, some with faint lucent cavity Advanced disease with cysts, emphysema adjacent to scarring, reticular and nodular opacities, honeycombing, can mimic IPF. Un progetto sull’istiocitosi a cellule di Langerhans e sindromi associate ha ricevuto un finanziamento europeo ed è sostenuto da 30 partecipanti tra i quali medici e rappresentanti di associazioni di pazienti con istiocitosi eurohistionet eurohistionet. Inoltre, le razze e le linee genetiche devono essere selezionate al fine di evitare malattie specifiche o problemi sanitari connessi con alcune razze e linee genetiche utilizzate nella produzione intensiva, quali ad esempio sindrome da stress dei suini, sindrome PSE (carni pallide, molli, essudative), morte improvvisa, aborto spontaneo, parti difficili che richiedono taglio cesareo.
Istiocitosi x Granuloma eosinofilo Sindrome HandSchullerChristian Morbo di Letterer Siwe LCH (langerhans cells histiocytosis) Esistono anche altri termini utilizzati per descrivere condizioni in genere considerate come istiocitosi sindrome HasimotoPritzker, istiocitosi cutanea pura, granulomatosi di cellule Langerhans, istiocitosi tipo. The aetiopathogenesis of Langerhans cell histiocytosis (LCH) is still undefined Constitutional abnormalities in LCH have rarely been reported One study showed chromosomal instability in lesional cells from three patients No chromosomal studies are available on peripheral blood lymphocytes Periph. Vinblastine is given intravenously, at doses from 01 to 02 mgt kg once weekly as long as the cutaneous and muous membrane lesions remain (normally 1 to 3 *Gianotti F, Caputo R, Ermacora E Istiocitosi X delJ'infanzia Ter apia delle forme disseminate can vinblastina Boll 1st Denn S Gi1Ilicano ,1974.
Associazione Italiana per la Ricerca sulle Istiocitosi Via Maggio 7 Palazzo Ricasoli Firidolfi Firenze Tel fisso sede Presidente Vicepresidente Email info@istiocitosiorg. Lichtenstein L Histiocytosis X (Eosinophilic granuloma of bone, LetteterSiwe disease and SchüllerChristian disease) Further observations of pathological and clinical importance Journal of Bone and Joint Surgery 46A, 76–90 1964. Distribuzione “random” o diffusa Distribuzione “random” o diffusa Distribuzione “random” o diffusa Disseminazione linfoematogena Frequenti Metastasi Miliare tubercolare Rare Funghi (istoplasmosi, coccidioidiomicosi) Istiocitosi X Silicosi Distribuzione “random” o diffusa Segni accessori Rapporto con vasi Cavità Prevalenza alle.
Historically LCH was called “histiocytosis X”, which is a term that includes three entities eosinophilic granuloma, HandSchüllerChristian disease and LettererSiwe disease 2–6 At present, LCH is classified into three distinct forms singlesystem single site (SSs), singlesystem multisite (SSm), and amultisystem type (MS) 7–10. La malattia istiocitosi X si verifica con una frequenza di 150 000, con la maggior parte dei casi bambini in giovane età, anche se ci sono casi di malattie dei bambini durante l'adolescenza Tuttavia, gli adulti, gli anziani, per lo più uomini, si ammalano spesso 7 , 8 , 9 , 10. This page was last edited on 21 June 19, at 1051 Files are available under licenses specified on their description page All structured data from the file and property namespaces is available under the Creative Commons CC0 License;.
Additional terms may apply. Ciao sono Sonia all'età di 5 anni mi sono stati diagnosticati 2 istiocitosi X, uno all'omero dx ed un altro al femore sx Ho fatto 2 anni di chemioterapia e fortunatamente sono guarita Oggi ho 29 anni faccio un lavoro dove il mio tempo lo passo all'impiedi e alzando pesi!. Morphogenesis of some dense laminated bodies in histiocytosis X Article Sep 1975;.
Quando lavoro tanto mi capita di sentire lo stesso dolore ma molto più. Istiocitosi a cellule di Langerhans detta anche Istiocitosi X (detta X per la presenza nella cellula tumorale, al microscopio elettronico, di un corpo a forma di X chiamato granulo di Birbeck), con tutte le sue varianti (dette anche istiocitosi di classe 1). Quando lavoro tanto mi capita di sentire lo stesso dolore ma molto più.
All unstructured text is available under the Creative Commons AttributionShareAlike License;. 12 Juberg RC, Kloepfer HW, Oberman HA Genetic determination of acute disseminated histiocytosis X (LettererSiwe syndrome) Pediatrics 1970; 13 Ungari S, Giardini O, Cardi E, et al Istiocitosi X a tipo tumo rale con ittero colostatico Acta Paediatr Latino 1973; Cintado Bueno C, Navarro Gonzalez J, Alvarez Silvan AM. Additional terms may apply.
Associazione Italiana per la Ricerca sulle Istiocitosi Via Maggio 7 Palazzo Ricasoli Firidolfi Firenze Tel fisso sede Presidente Vicepresidente Email info@istiocitosiorg. The aetiopathogenesis of Langerhans cell histiocytosis (LCH) is still undefined Constitutional abnormalities in LCH have rarely been reported One study showed chromosomal instability in lesional cells from three patients No chromosomal studies are available on peripheral blood lymphocytes Periph. EMail Address Password Forgotten Password?.
Proliferating cells in histiocytosis X (histiocytosis X cells) share many structural and immunophenotypic features with Langerhans cells, leading to the assumption that histiocytosis X represents a proliferative disorder of Langerhans cells. Motoi M, Helbron D, Kaiserling E, Lennert K Eosinophilic granuloma of lymph nodesa variant of histiocytosis X Histopathology 1980 Nov 4(6) Sacks SH, Hall I, Ragge N, Pritchard J Chronic dermal sinuses as a manifestation of histiocytosis X Br Med J (Clin Res Ed) 1986 Apr 26 292(6528). Hemophagocytic lymphohistiocytosis (HLH), also known as haemophagocytic lymphohistiocytosis (British spelling), and hemophagocytic or haemophagocytic syndrome, is an uncommon hematologic disorder seen more often in children than in adults It is a lifethreatening disease of severe hyperinflammation caused by uncontrolled proliferation of activated lymphocytes and macrophages, characterised by.
Xray small nodules generally up to 1 cm and variably sized cysts High resolution CT bronchiolocentric stellate nodules possibly with surrounding ground glass opacities, some with faint lucent cavity Advanced disease with cysts, emphysema adjacent to scarring, reticular and nodular opacities, honeycombing, can mimic IPF. Histiocitosis X (HX) represents a group of disorders due to proliferation of abnormal histiocytes exhibiting immunophenotypical and ultrastructural features similar to Langerhans cells HX can become manifest as an isolated lesion or may affect several organs at once.
2
Le Istiocitosi Ematologia In Progress
2
Www Medicoebambino Com Index Php Id 9902 87 Pdf
Pneumotorace Malattie Polmonari Manuali Msd Edizione Professionisti
Chirurgia Orale Patologie Sistemiche Che Aumentano Il Rischio D Infezione Pagina 2 Di 5
Patologia Linfonodale Ppt Video Online Scaricare
Http Web2 Sacrocuore It Oncologia Negrar 11 Maggio 16 Romano Pdf
Link Springer Com Content Pdf 10 1007 2f978 470 0556 3 26 Pdf
Siapec Gruppo Italiano Di Immunoistochimica Gym G I Im
Ofad Iss It Wp Content Uploads 19 06 Harari 31 Maggio 19 Pdf
Istiocitosi La Salute Prima
Granuloma Eosinofilo Massimiliano Neroni
Http Pacs Unica It Biblio Fisiopatologia Fisiopatologia13 Pdf
Pleurite Sintomi E Cause Dell Infiammazione Della Pleura Paginemediche
Le Istiocitosi Ematologia In Progress
Dr Pepe S Diploma Casebook Case 97 A Painless Approach To Interpretation Chapter 4 Solved Blog
Http Www Sipirs It Cms Media Lgipf Slide Kit Linee guida ipf Def Pdf
Granuloma Eosinofilo Anna Onlus
Istiocitosi A Cellule Di Langerhans Ematologia E Oncologia Manuali Msd Edizione Professionisti
Fibrosi Polmonare Idiopatica Wikiwand
Http Www Sipirs It Cms Media Lgipf Slide Kit Linee guida ipf Def Pdf
Www Fupress Com Xmlft Pdf 3338
Istiocitosi A Cellule Di Langerhans Lch Sintomi Cause Trattamento Cancro 21
2
Lavaggio Broncoalveolare
Pneumopatie Restrittive
Coinvolgimento Polmonare Nelle Malattie Sistemiche Ppt Scaricare
Le Istiocitosi Ematologia In Progress
Patologie Interstiziali Cap 9 10 11 Aims Flashcards Chegg Com
Q Tbn And9gcs3j0lpx2l zetveohvlchqc7xz9nfhfl4uuevyuptvhcvmuj Usqp Cau
Le Istiocitosi Ematologia In Progress
Le Istiocitosi Ematologia In Progress
2
2
Istiocitosi Di Langerhan Cause E Trattamento
Pneumopatie Interstiziali Diffuse Pdf Download Gratuito
Q Tbn And9gctd5ymipajh5mnwvgdujhje0osc7hsjnkvupxz8nyjvi9j2s1 Usqp Cau
Istiocitosi A Cellule Di Langerhans Ospedale Pediatrico Bambino Gesu
Che Cos E L Istiocitosi A Cellule Di Langerhans L Istiocitosi A Cellule
Proteinosi Alveolare Polmonare Malattie Polmonari Manuali Msd Edizione Professionisti
Www Nativemedia It Nm Salute Del Sangue 17 Pdf
Patologia Polmonare Diffusa Ppt Video Online Scaricare
1
Istiocitosi A Cellule Di Langerhans Ospedale Pediatrico Bambino Gesu
Ppt Istiocitosi Powerpoint Presentation Free Download Id 9367
Langerhans Cell Histiocytosis Radiology Reference Article Radiopaedia Org
Le Istiocitosi Ematologia In Progress
Le Istiocitosi Ematologia In Progress
Lezioni Appunti Di Pneumologia
Istiocitosi X Le Malattie Dell Apparato Respiratorio
Fibrosi Polmonare Idiopatica Wikipedia
Pneumopatie Interstiziali Diffuse
2
Paolo Boccato Lezioni Citodiagnostica Delle Linfoadenopatie
Q Tbn And9gctxeobmwyiavk2ltm59bhzhvt Gy08ftja94p9omnifraezil Usqp Cau
Http Www Ilpolmone It Site Utility Php A Download Cb Gitems To Download S 4 Iditem 46
Langerhans Cell Histiocytosis Lch Radiology Case Radiopaedia Org
Http Www Sciencedirect Com Science Article Pii S Pdf Md5 ac8fd7f0ce5da86b Pid 1 S2 0 S Main Pdf
Malattie Polmonari Interstiziali Medmedicine
Istiocitosi X A Localizzazione Ipotalamica Semantic Scholar
Www Fupress Com Xmlft Pdf 3338
Http Www Sciencedirect Com Science Article Pii S Pdf Md5 ac8fd7f0ce5da86b Pid 1 S2 0 S Main Pdf
Pneumopatie Interstiziali Diffuse Pdf Download Gratuito
Ppt Usual Interstitial Pneumonia Powerpoint Presentation Free Download Id
Istiocitosi X Polmonare
Istiocitosi A Cellule Di Langerhans Istiocitosi X Scoprilo
Http Www Ilpolmone It Site Utility Php A Download Cb Gitems To Download S 4 Iditem 46
Cisti Polmonari Tumore O Altre Cause Medicinalive
Pneumopatie Restrittive
Http Www Regione Lazio It Malattierare Pdt Bambingesu Policlinico Istiocitosi croniche Pdf
Http Www Ilpolmone It Site Utility Php A Download Cb Gitems To Download S 4 Iditem 46
Dr Pepe S Diploma Casebook Case 97 A Painless Approach To Interpretation Chapter 4 Solved Blog
Le Istiocitosi Ematologia In Progress
Www Medicoebambino Com Index Php Id 9902 87 Pdf
Langerhans Cell Histiocytosis Wikipedia
Journals Sagepub Com Doi Pdf 10 1177
Istiocitosi Osservatorio Malattie Rare
Aiponet It Images Grafica News Documentinews Microlitiasi Alveolare Polmonare Pdf
Http Pacs Unica It Biblio Fisiopatologia Fisiopatologia13 Pdf
Istiocitosi X Polmonare
Istiocitosi X Polmonare
Istiocitosi X Polmonare
Istiocitosi X A Localizzazione Ipotalamica Semantic Scholar
Oncologia Atlante Medicina
Histiocytosis X Trattamento Sintomi Cause Di Istiocitosi
Http Www Ilpolmone It Site Utility Php A Download Cb Gitems To Download S 4 Iditem 46
Istiocitosi A Cellule Di Langerhans Multisistemica E Imprevedibile Ok Salute
Ofad Iss It Wp Content Uploads 19 06 Harari 31 Maggio 19 Pdf
2
Asugi Sanita Fvg It Export Sites s1 It Documenti All Dao Mat Info Pneumo Interstiziopatie Rev 00 Pdf
Istiocitosi Di Langerhan Cause E Trattamento
Istiocitosi A Cellule Di Langerhans Polmonari Malattie Polmonari Manuali Msd Edizione Professionisti
Istiocitosi X Polmonare
Il Caso Istiocitosi X
Granuloma Eosinofilo Anna Onlus
Chirurgia Orale Patologie Sistemiche Che Aumentano Il Rischio D Infezione Pagina 2 Di 5
Pneumopatie Interstiziali Diffuse Pdf Download Gratuito


